The Prepless Veneer System That's Changing Cosmetic Dentistry
Let me guess what your schedule looks like:

Monday: Crown preps, a couple of fillings, maybe an endo if you're lucky.

Tuesday: More crowns. An extraction. Hygiene checks.

Wednesday: Same thing.

You're busy. You're working hard. Your schedule is packed.

But at the end of the month, you look at your production numbers and think:

"That's it?!? I worked my tail off..."

Meanwhile, there's a dentist three miles from your office who just did a veneer case before lunch and made $20,000.

In two hours.

While you were doing three crown preps for $3,500 total.

Here's the truth nobody wants to say out loud:

The highest-paid dentists aren't working harder than you.

They're just doing different procedures.

And the biggest gap, the one that separates $400K producers from $1M+ producers, is cosmetic dentistry.

But here's why you haven't made the jump yet:

You don't have cosmetic training. (And those courses cost $30K-$50K.)

You're not known as "the cosmetic dentist." (So patients don't ask you about veneers.)

Traditional porcelain veneers are expensive, time-consuming, and require irreversible prep. (One mistake and you're screwed.)

To offer porcelain veneers, you'd need to hire a designer, buy equipment, and figure out a lab workflow. (Who has time for that?)

So you stay in your lane.

Crown preps. Fillings. Endo.

Safe. Predictable. Profitable enough.

But every month, you're leaving money on the table.

A lot of money.

Because here's what most dentists don't realize:

There's an enormous market of patients who WANT veneers but will never pay for porcelain.

College students and recent grads who are on tight budgets. Middle-class professionals. Guys in their 40s and 50s. Senior citizens with worn teeth.

They'd love a new smile. They just can't justify the cost or the invasiveness of traditional veneers.

These patients are sitting in your hygiene chairs RIGHT NOW.

They're just waiting for someone to offer them something that makes sense.

And when you do?

You're the only dentist in town who can help them.
The Solution — PERL Printed Veneers
Using advanced 3D printing technology, Dr. Jeff Trembley developed a workflow that lets you open the bite precisely, safely, and predictably — all without anesthesia or tooth reduction.

With PERL printed veneers, you can:

- Balance occlusion before upper veneers

- Complete full-arch smile designs at nearly half the cost of porcelain

Printed resins seat with unmatched precision — tighter than porcelain, yet flexible enough to move naturally with the tooth. They’re strong, biocompatible, and easily repairable or replaceable since each design is digitally stored and reprintable on demand.

As Dr. Trembley says:

“I want to crash the price of dentistry — more profit, less chair time, and better results.”
New Market
3D printed veneers do not replace porcelain or handcrafted ones. 

Instead, it finds you a new market of patients who either do not want their teeth prepped or were previously priced out of porcelain (or both). 

There is a number of male patients who get this procedure done, as well as senior citizens
You only need to do two cases a month to get an additional $240,000 of production per year

Talk about a high value skill to learn! 
Real-World Results
Just last month, Miss Alaska came to Dr. Trembley days before Miss USA with four failing porcelain veneers. Instead of re-temporizing, Jeff printed new PERL veneers on the spot. 

Within 30 minutes, her new smile was bonded, polished, and camera-ready. All before her flight.
She was beyond happy
Your Patients Will Actually Thank You
Most of your day is fillings, crowns, and root canals. Necessary work, but patients aren't excited to be there.

This is different. No one dreads a smile makeover. No one cancels three times before showing up. No one white-knuckles the armrest.

Watch what happens when a patient sees her new PERL Printed Veneers for the first time:
About Dr. Jeff Trembley
An artist first and a dentist second, Dr. Trembley has spent years pushing the boundaries of digital dentistry. 

He’s trained with Kois, Hanson, Felipe Villaverde, and Eduardo DeAguiar. 

Since 2018, he’s been pioneering 3D printing in aesthetic dentistry. Learning through trial, error, and relentless curiosity until he perfected the process.
Here's where it gets really, really cool. 

Jeff has put together a step-by-step course that shows you how to do this in your office. 

The BEST part is Jeff is willing to let students who enroll in his course have ACCESS to Jeff's team of 3D designers and Jeff's team of 3D printers (in Jeff's OWN office) print up the case + mail for you.

That's right. You can literally have the EXACT SAME TEAM that Jeff uses for his OWN lab work for your own cases, mailed out to you.

You don't have to learn ExoCAD. 

You don't have to buy a printer. 

You don't even need to hire a designer.

Because when you enroll in Dr. Trembley's course in this cohort, you get ACCESS to his personal lab team. The same designers and 3D printers he uses in his own practice will design, print, and mail your cases directly to you.

That's right: Jeff's team becomes YOUR team.

You control the case. You do the clinical work. They handle everything else.

If you want to build up the lower arch first and then do the upper veneers, you can do that

Or if you want to just do the front top 6, 8, or 10, and not build up the lower arch, you can do that, too.

But more on that later. I want to tell you about the course from start to finish. 
Over-The-Shoulder, Step-by-Step
Instruction is a mix of detailed PowerPoints, PDF checklists, and step-by-step video filmed using a head camera, so you can see exactly what Jeff sees clinically.
How To Sell These Cases
Jeff's first module is how to sell these 3D resin cases to patients.

He teaches you, in depth, how to answer patients' objections to 3D printed veneers.  

Remember, Jeff has been doing this since 2018, so he's heard and met all the patient objections. You can learn from his experience, without the pain. Jeff can show you what works best and what topics to stay away from. 
Also in this first module, Jeff removed his office logo from his clinical photos and prepared for you high resolution slideshows and photo flipbooks that YOU can use in YOUR OWN office to sell these cases. 

(you also get access to Jeff's 3D ExoCAD designers and 3D printing machines, but like I said, more on that later.

That's one heck of a bonus. In future cohorts, this package will be a separate fee, but for right now, Jeff is including it as a bonus for this cohort. 
Digital Photography
The second module is a step-by-step digital photography course. Jeff shows you how to take digital photos with a DSLR, but he also THEN shows you how to take the same photos with an iPhone.   

So, both DLSR and iPhone techniques are taught. Depending on your photography setup. It is step-by-step. He shares with you every trick he knows to get your clinical photos looking awesome. 
Effective Communication
The third module goes over how to approach patients to consider cosmetic dentistry, especially if you are not (yet) known to be a cosmetic dental office. 

You've got to start somewhere. Jeff was an associate dentist before he started his own clinic, and he got known as the Cosmetic Guy. Jeff will show you the tips and tricks to effectively communicate this to patients and not put them off. 
Digital Scans
Now that you've got the case acceptance modules down, Jeff's next module goes over how to digitally scan and get the records needed for the lab for prepless 3D printed veneers. Jeff goes over scanning tips with Trios, iTero, etc, so, we're not tied to one system (same as the photography essentials).
Case Selection
Jeff then has a module on case selection and how to evaluate a case

What you're looking for in terms of bite, occlusal relationship, eyes, face, cheekbones and more. Jeff will show you the ideal candidate for 3D printed veneers and Jeff will also show you cases when NOT to do printed resin veneers. 

This is important!!!
Gingivectomies
Next, Jeff has a step-by-step module on soft tissue, including gingivectomies. 

What to look for and how to do the gingivectomies for these cases step-by-step.
Simplicity Meets Precision
This next module is called "Prep & Scan – Simplicity Meets Precision." 

This is groundbreaking. Jeff talks about “Enamel smoothing” not prepping.
Remember these 3D printed veneers do not have gingival margins and are prepless. Again more tips with Trios, iTero, etc, so, we're not tied to one system. 
How To Insert + Bond
Jeff then has a module on the step-by-step instructions on how to INSERT + BOND a 3D printed case. These 3D printed veneers are BONDED so they're super strong. 
Jeff will show you, tips and tricks and things that he's learned over the years. 
Material Science
There is a module on the material science, so you can understand the printed veneers. They're FDA approved, biocompatible, and they're backed by some very big companies, like Ivoclar now. Nobody knows how long these are going to last, but they've got 4 years of great data on an inferior product to what they're currently using now. And the materials are beautiful.
 
Now, this is where it gets really, really neat.
Local vs. Out Of Town Patients
When Jeff first started doing these cases, it was 10+ hours of chair time and multiple visits. He now has it dialed in to 2 visits for his local patients and same-day protocol for out-of-town patients. 

Jeff shows you both. He is an open book, and he shares both protocols. You will learn the most efficient way to manage a 3D printed resin and air case for somebody who lives in town. 

You will also learn the most efficient way to handle a 3D case for somebody who is flying in for the dental treatment. It is different. 

Jeff will show you the ways to manage the soft tissue, gingivectomies, healing, and what to look for so that you can cut these visits / appointments down to a morning or two.  

No more 10 hours of chair time. This alone is worth the price of the course.

Instead, the average chair time is under 2 hours

No anesthesia. No prep. Complete control.

Average profit per arch: $7,500–$8,000.
How To Print 3D Printed Veneers
Finally, Jeff also shows you all the equipment that is needed for 3D printing to set up and print in your own office. So you can get set up and be 3D printing and doing it yourself.  

Note: Jeff teaches you the equipment and workflow for in-house printing, but we recommend outsourcing the ExoCAD design work. It's faster, cheaper, and lets you focus on the clinical work you're great at."
Jeff's Team Is Now YOUR Team
Most courses teach you theory and send you on your way.

Not this one.
When you enroll in this cohort, you get direct access to the same 3D design team and printing lab that Jeff uses for his own cases.
Here's exactly how it works:

Your New Workflow:

Step 1: Patient consults. You show them the before-and-afters (Jeff gives you his white-labeled photos to use in YOUR office). They say yes.

Step 2: You take a digital scan with your Trios, iTero, or whatever scanner you already own.

Step 3: You upload the scan to Jeff's lab team at Smile On Nashville. Jeff's lab fee is $2,000 for all the upper veneers (10-14), and if the lowers are to be completed, it is an additional $1,500. 

Step 4: Jeff's designers, the SAME people who design his cases, create your case in ExoCAD.
IMPORTANT: Access to Dr. Jeff's design team and lab is NOT available anywhere else. You cannot hire Jeff's team without taking this course.
Step 5: Jeff's 3D printers print your veneers using FDA-approved, biocompatible resin.

Step 6: They mail the finished case to your office.

Step 7: You seat it in under 2 hours. Typically, without prep or anesthesia. Patient leaves thrilled.

Step 8: You collect $10,000 and profit $7,500–$8,000 per arch.

You make your money back on your FIRST case, even after paying for the course.

Do just TWO of arches per month, and you've added $240,000 in annual production.

And because every design is digitally stored, if a patient chips a veneer two years from now? You just reorder the file, print a new one, and seat it in 20 minutes.

Try doing THAT with porcelain.
$10,000 Per Arch
Dr. Trembley advises you sell the cases for $10,000 per arch (do not price per tooth). In doing so, you’ve made money on your first case even when considering the course tuition and the lab expense. 

On average, you should be profiting $7,500-$8,000 each arch and not even need anesthesia when seating! 

Best of all, though, you get somebody like Jeff, who is experienced, and you're literally having the SAME team and SAME lab work that Jeff Trembley uses in his own office on his own cases. 

This is incredible. The course is less than the cost of two crown preps, or 2 molar endos and Jeff shows us step-by-step of how to do everything for cases, he routinely charges $15,000 to $20,000 for. 

It also lets you have Jeff Trembley 3D printed veneers in your own office. Designed by the same team and assistants that he uses in his own office.

To summarize... 

Now, for the first time, Dr. Trembley is teaching his entire system in a comprehensive training program for dentists.
Continually Updating
This course is a continuous work-in-progress, and will get even better over timeEvery 1-2 months, Jeff learns something new and continually refines his process. 
As a result, we are creating an online community where Jeff will continue to record his cases with his head camera and share his new findings with us.
Jeff will continue to film his procedures and point out new developments, and you can watch over the shoulder of a world-class master trailblazer in real time.
What You Get
Inside the PERL Printed Veneer Course, you’ll learn:
  • Case selection: how to identify ideal printed-veneer candidates
  • Photography: DSLR & iPhone protocols
  • ​Scanning: Trios and iTero tips
  • Enamel smoothing + bonding: prepless workflow & insertion steps
  • ​Soft-tissue management: predictable gingivectomies and healing
  • ​Case acceptance: proven scripts, visuals, & pricing models
Bonuses
As a bonus for enrolling in this cohort, you will get the following:
  • Direct access to Dr. Trembley’s own 3D design and printing team
  • ​Chairside PDFs: armamentarium, post-op sheets, and material comparison guides
  • High-resolution before-and-after pictures of Dr. Jeff's cases for patient education
  • ​Access to the Private PERL Community with ongoing Q&A calls
What To Expect
Dr. Jeff shared with me that the average profit per arch can be around $7,500–$8,000.

The average chair time is under 2 hours. 

No anesthesia. No prep. Complete control.
Private PERL Community
There's a saying, "You're the average of the 5 people you spend the most time with" which is why you should surround yourself with other success people

When you invest in Dr. Jeff's course, not only are you getting lifetime access to the potentially career changing lectures, but you also become part of the PERL Printed Veneers Community

Every other month (or so), Jeff will get on a live Q&A call to answer your questions about PERL Printed Veneers. 

Jeff and I both want you to be as successful as possible, and we will be there to support you in the private PERL Community. 
Introducing…
PERL Printed Veneers
The Prepless, Predictable Smile Design System

12 CE Hours (AGD Pace Approved)

Dr. Jeff Trembley, a cosmetic dentist who's been pioneering 3D printing since 2018, just cracked the code on something huge:

A prepless veneer system that lets you:
  • Seat full-arch cases in under 2 hours
  • ​Charge $10,000 per arch and profit $7,500–$8,000 per case
  • ​Attract an entirely NEW market of patients who don't want prep or can't afford porcelain
  • ​Do just 2 arches per month and add $240,000 in annual production
And here's the kicker...

You don't have to learn ExoCAD. You don't have to buy a printer. You don't even need to hire a designer.

Because when you enroll in Dr. Trembley's course, you get ACCESS to his personal lab team. The same designers and 3D printers he uses in his own practice to design, print, and mail your cases directly to you.

That's right: Jeff's team becomes YOUR team.

You control the case. You do the clinical work. They handle everything else. 

The lab fee is a very reasonable $2,000 for all the upper veneers (10-14), and if the lowers are to be completed, it is an additional $1,500. 

This is a fast, online CE course (12 CE hours - AGD Pace approved) with material that you can start to apply in your life and career instantly. You can consume the course at your own pace and revisit it whenever you want.

This framework is practical and proven -- these aren’t “pie-in-the-sky” wishy-washy tactics. 

This framework is based on years of Dr. Jeff's personal experience,  countless hours of research, continuing education, and trial-and-error along the way. 

PERL Printed Veneers gives you precise, actionable steps to alter the trajectory of your dental career™.
Personal Access to Dr. Trembley
Don't forget that by investing in PERL Printed Veneers, you get personal access to Dr. Jeff in the private community. 

As mentioned, ever other month or so, Dr. Jeff will host a Q&A call where he offers his advice on your questions.
IN THIS CE COURSE, YOU’LL LEARN:
  •  Why printed veneers are changing cosmetic dentistry
  • ​ FDA-approved, biocompatible printed resin
  • ​ How to identify the ideal candidates for printed veneers 
  • ​ How to sell a 3D printed case to a patients
  • ​ How to handle any objections a patient might have
  • ​ Additive vs reductive smile design
  • ​ When not to use printed veneers
  • ​ “Enamel smoothing,” not prepping
  • How to scan the right way
  •  How to get professional quality photographs
  •  Soft tissue management
  • How to design a smile 
  • What 3D printing equipment you need
  •  How to integrate 3D printing into your team
  •  How to create a repeatable, assistant-supported workflow
  •  How to train your team in digital veneers 
  • ​ How to keep your overhead low 
  • ​ How to attract new patients 
  •  How to pitch 3D printed veneers to patients
  • ​ Appointment Scheduling: 2-visit and same-day protocol
  • ​​ Post-Op Instructions
  • ​ And more!
The entire PERL Printed Veneers online CE course works on any device connected to the internet and is delivered in video format.

This is an interactive course and you will be able to start integrating this framework into your everyday life immediately.

You will get lifetime access to PERL Printed Veneers.  

You will be able to revisit any module and any video whenever you need a refresher. 

You will also get free upgrades to all future versions of the course.

So when you find yourself looking for a refresher or need a bit of motivation or guidance, you’ll be able to watch a few of the videos and get back on track for success.
PERL Printed Veneers
IS FOR YOU IF…
  • You want to add a high value procedure to your repertoire (2 arches per month can add $240,000 in annual production)
  • ​You want to add high-profit cosmetic cases without $50K in training
  • ​​You're tired of losing veneer patients to price objections
  • ​You want a system that works, not just theory or something you have to figure out yourself
  • ​You are looking for a way to stand out and build your reputation
  • You want to start doing cases immediately rather than spend months learning software or setting up a lab (Jeff's team is YOUR team)
  • ​You want higher production without more/longer days
Frequently Asked Questions
"Will patients trust 3D printed veneers?"
This is the question every dentist asks, and the answer might surprise you.

Patients don't care how their veneers are made. They care about three things: Will they look natural? Will they last? And can I afford them?

PERL Printed Veneers deliver on all three. The materials are FDA-approved and biocompatible. They're strong enough to handle occlusal forces, beautiful enough to fool other dentists, and priced so patients who were previously told "maybe someday" can finally say yes.

Here's what actually happens in the chair: You show them Dr. Trembley's before-and-after photos. You explain there's no drilling, no needles, no temporary phase. You tell them if anything ever chips, you can reprint and replace it in days (not weeks) because their design is stored digitally forever.

Then you tell them the price. That's usually when they stop asking questions and start picking their shade.
"But... Jeff is an artist. Can I do that?"
85-90% of Jeff's cases that he inserts are monolithic, untouched, and he does not modify them with staining, shaping, or characterization. He simply inserts them, and they are good to go.
"What if they fail and I have to redo them?"
This is actually where printed veneers have a massive advantage over porcelain.

With traditional veneers, a chip or fracture means impressions, lab time, temporaries, and another multi-hour appointment. The patient waits weeks. You eat the lab bill or have an awkward conversation about fees.

With PERL Printed Veneers, every case is stored digitally. Forever. If a veneer chips, cracks, or needs to be replaced for any reason, you simply reprint it. The file is already done. The design is already approved. You bond the new one in a single short visit.

No re-prepping. No new impressions. No lab delay.

Dr. Trembley has had patients leave the same afternoon with their smile restored. Try doing that with porcelain.
“Is this just a fad?”
No. It's where dentistry is going. It is the future. 

3D printing has been used in dental applications for years for surgical guides, dentures, models, and aligners. What's changed is that materials have reached the strength, aesthetics, and biocompatibility required for permanent anterior restorations.

Ivoclar is backing it. The FDA has approved it. Dr. Trembley has been doing it since 2018 with consistent, predictable results.

Fads don't last seven years. Fads don't attract industry leaders. And fads don't solve problems that have plagued cosmetic dentistry for decades.

This is the early end of a long curve, and the best time to get on it.
"What if I don't have a 3D printer?"
You don't need one. That's the whole point. Jeff's lab team prints everything for you. You just scan and send. (If you want to print in-house eventually, Jeff shows you how. But you don't need to start there.)
"What if I don't know ExoCAD?"
You don't need to. Jeff's designers handle all the design work. You can do this without ever opening design software.
“What if I fall behind in the course?”
Don’t forget that PERL Printed Veneers comes with lifetime access, so you can get caught up at any point. If life gets too hectic or you’re relaxing on a beach while on vacation, rest assured that you’ll be able to hop back into the meat of the course anytime you’re ready.
“The last thing I need is another thing to do…”
Look, I understand just how demanding our careers are. Throw in family commitments, kids, volunteer work, working out, hobbies, and having fun. The last thing you might be thinking you want to do is sit down and watch this course.

PERL Printed Veneers isn’t just something that ends up on your to-do list. It’s not like fixing the gutter or paying bills.

PERL Printed Veneers is a highly focused, at-your-own-pace course that has the powerful potential to set your career on a trajectory you used to think was impossible.

I recommend that you spend around 2 hours per week on this course for maximum benefits and so you can get through the material in about a month. This is simply a recommendation as you will always have lifetime access to the course meaning that you can go through it faster or slower if you want.

If you’re ready to alter the trajectory of your dental career™ and to unlock the framework to thrive as a dentist, then you will have PERL Printed Veneers as an ally in your corner for life.
“Does this work?”
Yes! Dr. Jeff has been offering 3D-printed veneers since 2018. These techniques are practical and proven, and they are yours to keep when you invest in PERL Printed Veneers

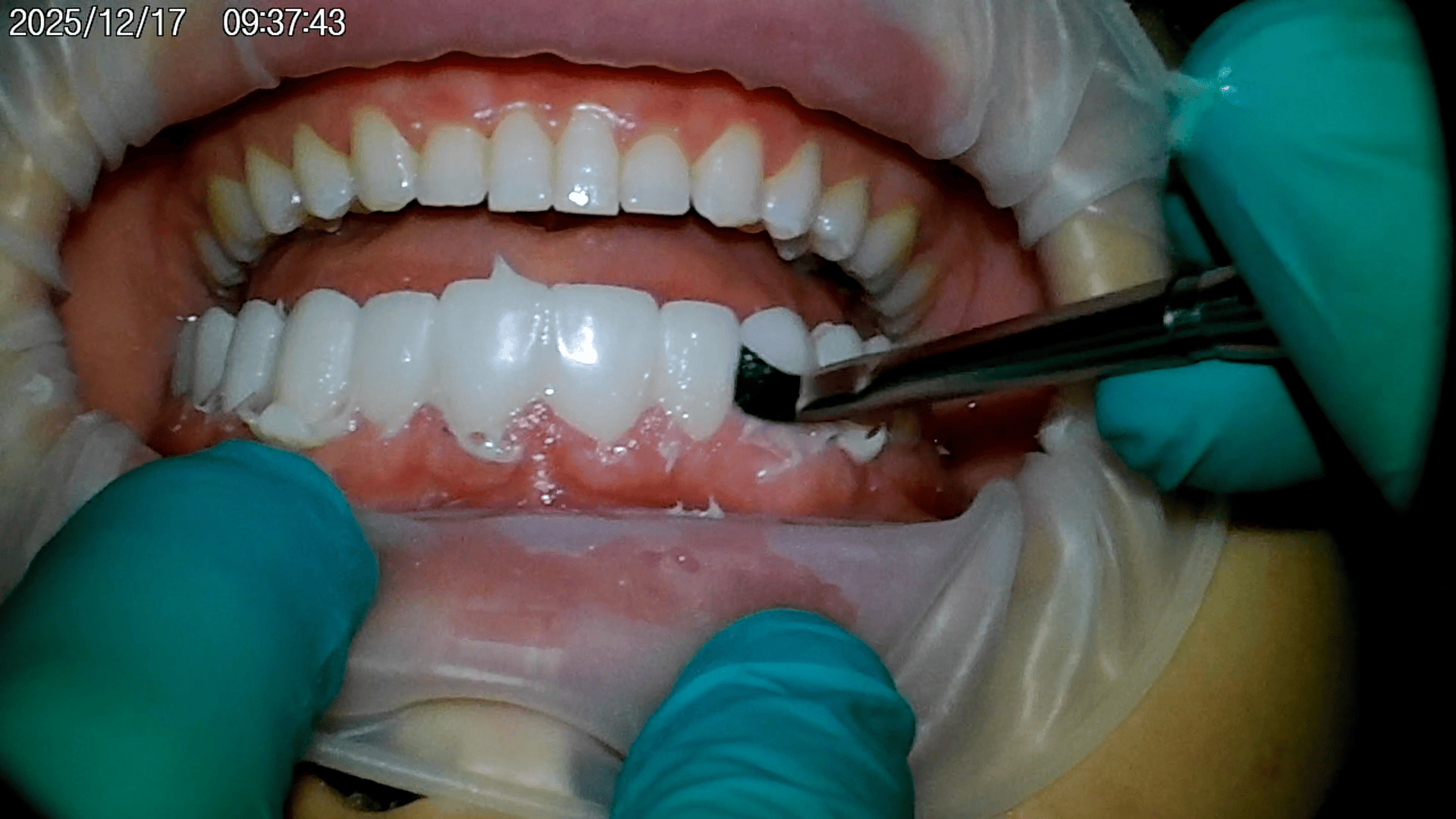
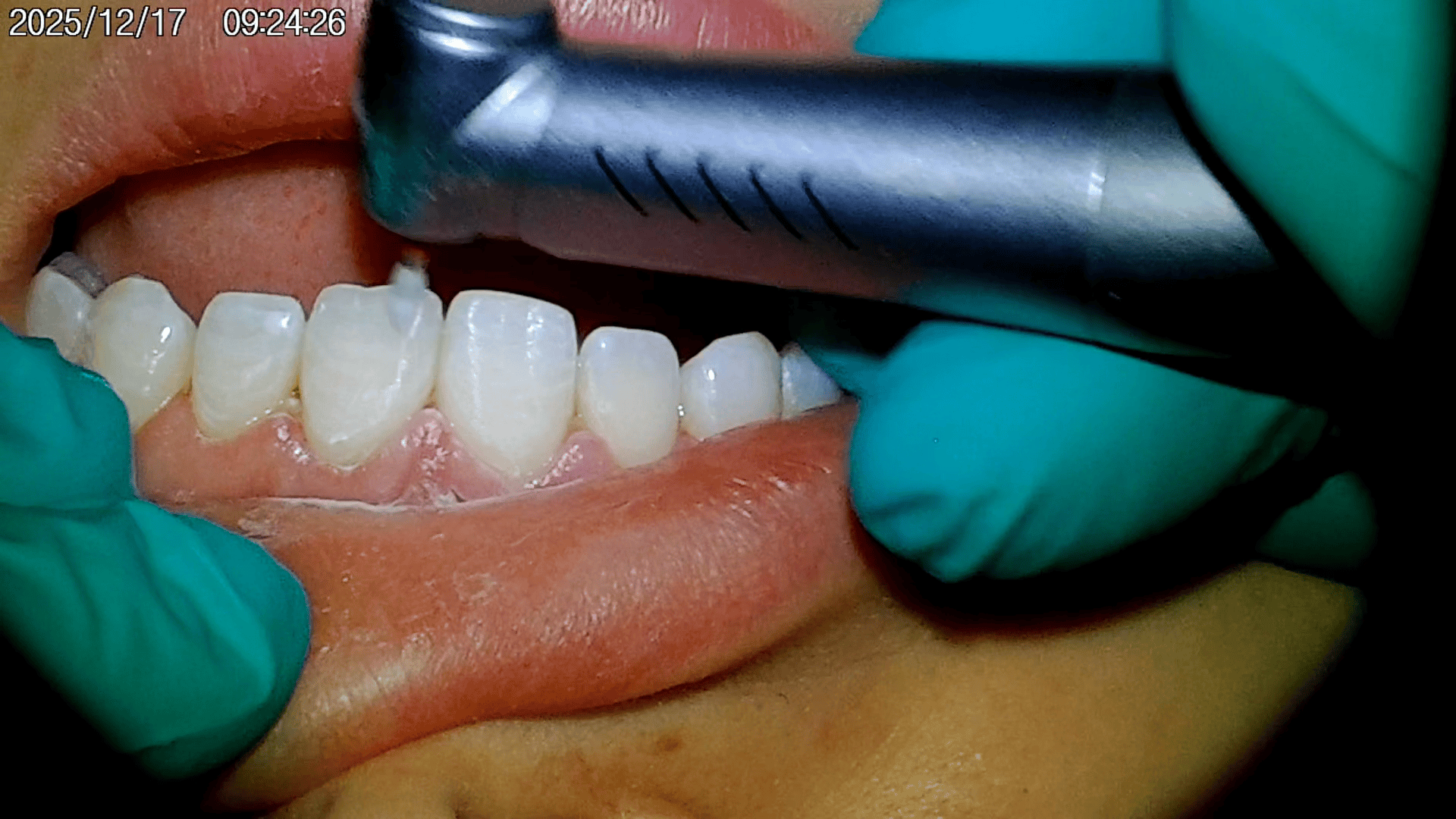
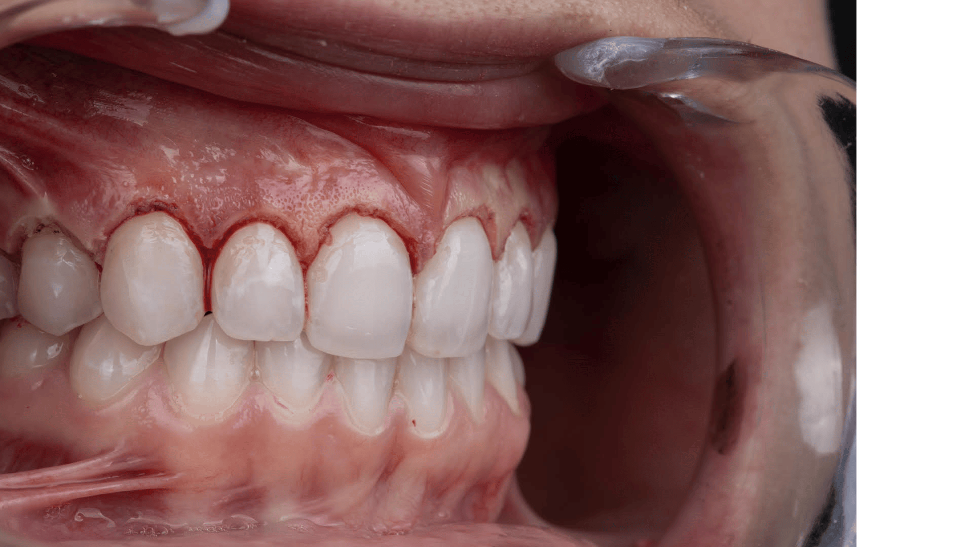
Here are some of Dr. Jeff's cases:
A ROCK SOLID GUARANTEE: TRY PERL Printed Veneers FOR A FULL 60-DAYS, 100% RISK-FREE
Take the course. Watch the videos. Attend the live Q&A sessions with Dr. Jeff. Use the protocols on your first few cases.

If, after 60 days, you don't feel confident that this system can add profitable cosmetic cases to your practice, email me. I'll refund every penny. No hassle, no hard feelings. I'll even eat the credit card processing fees.

60 days is enough time to go through the entire course twice and attend 2 live Q&A calls. That's how confident I am that this will work for you.
Founding Member Pricing
This is the first time the game-changing PERL Printed Veneers techniques are being taught.

You will be one of the first dentists trained in this system, and because of that, we're offering a significant discount in exchange for your feedback as we refine and improve the course.

We expect the regular price will be $4,000 (or more) once we've incorporated feedback from this first cohort. But as a founding member, you lock in the $1,995 price today.

And here's the best part: as Dr. Jeff continues to add new content, case walkthroughs, and updates based on what he's learning, you get lifetime access to every future version of the course at no extra cost.
The course will only get better. Your price stays the same.
Add 3D Printed Veneers to Your Practice Today
Get Instant Access to the Course + Lab Team

12 CE Hours (AGD Pace Approved)

12 Monthly Payments of 
$369 $195
12 CE Hours (AGD Pace Approved)
6 Monthly Payments of 
$712 $375
12 CE Hours (AGD Pace Approved)
Pay in Full
$4000 $1995
12 CE Hours (AGD Pace Approved)
If you have any questions and/or concerns about PERL Printed Veneers, please don't hesitate to email me at greg@helpfuldentist.com
What's Included in PERL Printed Veneers

Video Lectures

Watch Dr. Jeff show you how to design and sell 3D Printed Veneers to ideal candidates. Low overhead, high production.

Community

You will have access to Dr. Jeff and be surrounded by ambitious dentists in the PV Community, plus live Q&A Calls

Handouts

Post-op sheet, appointment flowchart, armamentarium checklist, patient education brochure & more. 

What Happens Next:
1. You get instant access to the course portal and community

2. Start with Module 1 and watch at your own pace

3. Submit your first case to Jeff's lab team whenever you're ready

4. Join the next live Q&A call and get your questions answered

12 CE Hours (AGD Pace Approved)

Module 1: Introduction – Welcome to the Printed Revolution
  • Lecture #1: Why printed veneers are changing cosmetic dentistry: advantages and how this is just different
  • Lecture #2: Your journey: from composite, feldspathic, and porcelain to printed mastery
  • Lecture #3: What you’ll be able to do after this course
  • Lecture #4: Smile On Nashville as your backend design and 3D printing partner
Module 2: Material Science – Understanding Printed Veneers
  • Lecture #5: FDA-approved, biocompatible printed resin
  • ​Lecture #6: Strength, translucency, bondability
  • ​​Lecture #7: Comparison matrix: composite, feldspathic, lithium disilicate, printed
Module 3: Case Selection – Who Are These For?
  • ​Lecture #8: Ideal candidates
  • Lecture #9: Additive vs reductive smile design
  • ​Lecture #10: When not to use printed veneers
Module 4: Prep & Scan – Simplicity Meets Precision
  • ​Lecture #11: “Enamel smoothing,” not prepping
  • Lecture #12: Scanning tips with Trios, iTero, etc.
  • Lecture #13: Photography essentials
  • ​Lecture #14: Soft tissue management
Module 5: Smile Design – Digital Additive Workflow
  • ​Lecture #15: Broadening smiles to premolars
  • ​Lecture #16: Lengthening worn teeth
  • Lecture #17: Midline, facial plane, and symmetry adjustments
  • Lecture #18: Optional ExoCAD overview for self-design
Module 6: Manufacturing – In-House or Outsourced
  • ​Lecture #19: Print tech overview (DLP vs SLA)
  • ​Lecture #20: Curing, margin quality, cement gap control
  • Lecture #21: How to use Smile On Nashville's full design and 3D printing service
Module 7: Seating, Bonding & Finishing
  • ​Lecture #19: Try-in and surface prep
  • ​Lecture #20: Dual-cure and same-material cementation
  • Lecture #21: Line angle and incisal edge refinement
  • ​​Lecture #22: Avoiding cervical “catch points”
  • ​​Lecture #23: Tools: discs, big barrel polishers, felt points
  • ​​Lecture #24: “Candy coat” layering for extra luster (not done at Smile On Nashville)
Module 8: Team Integration – Scaling Through Delegation
  • ​Lecture #25: Who does what: scanning, submission, delivery
  • ​Lecture #26: Creating a repeatable, assistant-supported workflow
  • Lecture #27: Training your team in digital veneers
Module 9: Business Model – Profiting from Printed Veneers
  • ​Lecture #28: Low overhead, high production
  • ​Lecture #28: Accessible smile makeovers = new patient attraction
  • Lecture #30: Suggested pricing models and bundling
  • ​Lecture #31: How to pitch this to patients
Module 10: Live Case Walkthrough – From Consult to Cure
  • ​Lecture #32: Full video case breakdown
  • ​Lecture #33: Design choices and clinical insights
  • Lecture #34: Before/after showcase and lessons learned
Module 11: Clinical Support Toolkit
  • ​Lecture #35: Appointment Schedule: 2-visit and same-day protocol
  • ​Lecture #36: Post-Op Instructions: patient-friendly recovery guide
  • Lecture #37: Recommended Toothpaste: non-abrasive, low-RDA options
  • Lecture #38: Armamentarium Checklist: burs, polishers, cement, tools​
Ongoing Live Lectures & Support: PERL Printed Veneer Community
  • ​Live Q&A Calls: Every other month (or so), live call with Dr. Jeff
  • ​Private Community: Surround yourself with other like minded dentists using the PERL Printed Veneer system
  • Lifetime Access: This cohort will have lifetime access to the live Q&A call and the community
  • FREE Upgrades: When Dr. Jeff updates or adds to this course, you will get FREE access to the new or updated material​

And if that weren't enough...

PERL Printed Veneers also comes with 7 ridiculously valuable Bonus Modules and Access:

  • Bonus #1: $4,000 discount (this course will likely be sold for $5,995, or more, in the future)
  • Bonus #2: Access to Dr. Jeff / Smile On Nashville's full design team and 3D printing service (you MUST take this course to get access to his design team and printing services)
  • Bonus #3: White labeled clinical photos YOU can use in YOUR OWN office to sell these cases
  • Bonus #4: Chairside PDFs: armamentarium, post-op sheets, and material comparison guides
  • ​Bonus #5: Patient eduction brochure to use in YOUR OWN office
  • ​Bonus #6: Appointment flowchart 
  • Bonus #7: Lifetime Access to the PERL Printed Veneers Community
Add 3D Printed Veneers to Your Practice Today
Get Instant Access to the Course + Lab Team
12 Monthly Payments of 
$369 $195
12 CE Hours (AGD Pace Approved)
6 Monthly Payments of 
$712 $375
12 CE Hours (AGD Pace Approved)
Pay in Full
$4000 $1995
12 CE Hours (AGD Pace Approved)
If you have any questions and/or concerns about PERL Printed Veneers, please don't hesitate to email me at greg@helpfuldentist.com
Testimonials
"In my first full year the systems and clinical tips [from TAAA] have helped me surpass the production of the dentist I took over for."
"Cut 30 minutes off my appointment time."
"Dr. Greg really cares about this course and the dentists who are part of this group."
"There is no other CE I've come across with as strong of an immediate return-on-investment."
"You’re making up for what our universities are lacking in practical, modern clinical education."
"I use your class II technique on a daily basis."
"It truly is a game changer."
"Shaved off 30-40 minutes from my chair time and the quality of my preparations has improved!"
"It is definitely worth taking ... I would simply email Dr. Greg and always got a quick reply."
"Increased my clinical efficiency and ease of using sectional matrices with Class II restorations."
"I’m just starting out as an associate and I can already see the improvement in the way I run exams and restorative procedures."
"The endo videos have been really helpful."
"I wish a lot of this someone had told me sooner."
"They have answered questions I did not know I had."
Enrollment in PERL Printed Veneers closes in:
countdown
00 Years 00 Months 00 Weeks 00 Days 00 Hours 00 Minutes 00 Seconds
Copyright © 2026. The Helpful Dentist Corporation. All Rights Reserved. Privacy Policy. Terms of Service. Contact. Refund Policy.

Earnings Disclaimer: The income figures stated on this page are Dr. Jeff Trembley's personal results. Your results will vary based on your skills, experience, location, patient base, marketing, and many other factors. This course provides education and tools—it does not guarantee any specific income or results. Nothing on this page should be interpreted as a promise or guarantee of earnings.